vot海綿針

韓國VOT微晶海綿針

韓國VOT微晶海綿針| 從肌底開始改善炎症痘痘、毛孔閉塞

  • 無創 3 天肌膚再生: 全方位嫩白、保濕、收細毛孔、改善膚質,從肌底開始改善炎症痘痘、毛孔閉塞問題
  • 把珍貴的天然成份放在海綿針的小孔,通過獨特的按摩手法,成份直接跟隨海綿針深入肌底
  • 一文看清韓國VOT微晶海綿針| 聯絡我們推薦值得信任的診所及美容院給你,合適的Blogger/Vlogger及其他人選更可FREE享用此護膚品。診所或美容院歡迎聯絡我們,提供更多專業營商及療效建議-64732877

目錄:

1.1 VOT微晶海綿是甚麼?| 針對袪紋、毛孔、凹凸洞及疤痕

擁有先進的淨化專利技術的VOT微晶海綿針,除去了一般矽針會有的雜質而解決了其容易敏感的問題,並把珍貴的天然成份放在海綿針的小孔,通過獨特的按摩手法,成份直接跟隨海綿針深入肌底,並在角質底層長達72小時讓皮膚吸收,將人體細胞循環週期由28天轉快為3天,肌膚[先重生、後脫落],因更健康強壯的新肌膚細胞取代而令舊有失去作用的角質脫落。這有別於化學換膚或矽針換膚把角質先脫落,皮膚表皮保護膜被去掉,就很容易因紫外線、空氣污染等因素,導致皮膚敏感,甚至出現反黑現象

其優點如下:
專利淨化技術: 減少雜質而拒絶化學漂染,保持了純度PH中性,減少敏感
營養覆蓋技術: 專利技術把有效成份放在海綿針的小孔,令成份更深入肌底
珍貴天然成份: 混合多種胜肽及神經醯胺等明星成份,有效全方位嫩白、保濕、收細毛孔、改善膚質

1.2 VOT微晶海綿針適合誰?| 各類皮膚使用後都有益處

有別於物理或化學性換膚,V.O.T海綿針換膚適合各類皮膚:

1、中性肌膚(縮小毛孔保養、提升、除皺、保濕),
2、敏感肌膚(改善肌膚代謝,刺激細胞再生,增強皮膚自身免疫力和防護力)
3、乾性肌膚(保濕、提升、除皺)
4、暗瘡肌膚(消炎去粉刺、暗瘡)
5、皮炎類肌膚(改善脂溢性皮炎、玫瑰性痤瘡)
6、色素沉著肌膚(淡化暗瘡印、色素沉著類,各類斑紋)

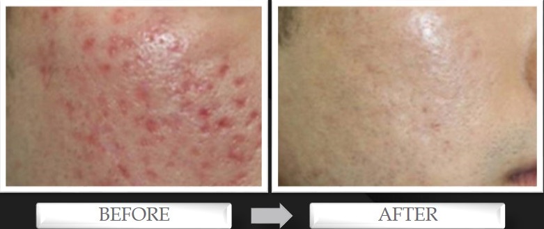
1.3 VOT微晶海綿針療程效果

無創 3 天肌膚再生、改善膚質,能全方位嫩白、保濕、收細毛孔及減淡幼紋,從肌底開始改善炎症痘痘、毛孔閉塞問題。

效果如下:

1.4 VOT海綿針技術優點

VOT的生產商從事多年為不同的矽針進行研發及生產,而VOT是其首款自己推廣的品牌。跟過往的矽針不同, VOT的淨化技術、小孔營養輸送及選用的有效成份都是最先進的矽針技術,詳情如下:

1.4.1. 專利淨化技術

> 專利CELLREN SPEARⓇ淨化覆蓋技術,拒絶化學漂染
> 保持海綿針PH值中性,清除雜質、純正無菌

1.4.2. 營養覆蓋技術

¨有別於一般矽針或海藻針,獨特CELLREN SPEARⓇ淨化覆蓋技術能有效地把珍貴的活膚保濕因子穩定地注入每根海綿針小孔內,令成份隨海綿更深入肌底

400倍顯微鏡下的VOT微晶海綿針,每根海綿針上均帶有無數微細約0.5微米小孔

1.4.3. 珍貴天然成份: 混合多種胜肽及神經醯胺等明星成份,有效全方位嫩白、保濕、收細毛孔、改善膚質

1.5 VOT微晶海綿針技術原理| 先重生、後脫落

> 微晶海綿針進入皮膚,從底層開始,細胞組織活躍起來,重新建構,打造完美肌膚

> 皮膚底部保護層重生後,微晶海綿針自然離開皮膚,有問題的表層角質才慢慢脫落

1.6 VOT微晶海綿針的有效成份| 多種珍貴天然成份

 VOT微晶海綿針含有多種珍貴天然成份: 混合多種胜肽及神經醯胺等明星成份,有效全方位嫩白、保濕、收細毛孔、改善膚質,詳情如下:

1.6.1 藍銅胜肽 – 經典而珍貴的逆轉肌齡胜肽始祖

胜肽因其對人體無副作用而且分子小易吸收,近年很受醫學級護膚品歡迎。藍銅胜肽作為胜肽中的經典更是深受擁戴。它是一種三胜肽, 於 1973 年在人體血漿中發現之金屬胜肽複合物。藍銅胜肽能深入肌底,讓肌膚變得更加緊實有彈性,而且能幫助傷口癒合。隨著年齡增長而減少,據估計,60 歲時皮膚中的藍銅胜肽只餘20歲時的1/3,所以年紀愈大傷口愈難修復。

袪紋及收細毛孔: 有效促進膠原蛋白(Collagen)和彈性(Elastin)蛋白的製造,也可撫平皺紋

改善膚質: 能刺激葡萄糖聚胺形成,增加皮膚厚度,減少皮膚鬆垮緊實肌膚

加速傷口癒合: 皮膚受傷時,血液中的銅離子就會和組織內的三胜肽一起變成藍銅胜肽,然後刺激幹細胞分化、增生纖維母細胞來修復受損的組織。藍銅胜肽對協助受傷組織對抗發炎反應非常重要,同時能刺激生產正常蛋白質以取代受損蛋白質。

1.6.2 神經醯胺-尊貴護膚品及能改善濕疹的新寵成份

神經醯胺(英文:Ceramide)是覆蓋在新生人類嬰兒皮膚上的蠟狀或乳酪狀的白色物質(胎脂)的重要成分 。肌膚的角質層間脂質約有50%是由神經醯胺組成,是維持肌膚健康很重要的成分。神經醯胺在人體角質層中隨著年齡增長而減少。

加速細胞代謝: 細胞代謝對於維持正常細胞穩態至關重要,是應對許多形式細胞應激的重要生理反應。有證據顥示神經醯胺在粒線體上游起作用,誘導細胞代謝

加速傷口癒合: 透過補充表皮中的神經醯胺,可幫助重建角質細胞間脂質,降低傷口水分散失、改善皮膚屏障功能從而促進傷口癒合

保濕及鎖水: 產生一個不透水的保護性結構,以防止過多的水分蒸發,同時也阻止微生物的進

1.6.3 乙酰基六肽 – 能抑制表情動態紋及有抗皺功效的成份

乙酰基六肽有類肉毒桿菌功效,可抑制SNARE complex作用,減少神經傳導物質釋放,達到抑制表情紋、抗皺功效。遏制神經傳導素乙醯膽鹼的釋放,減弱肌肉的收縮,從而減少動態紋表情紋,減少皺紋產生,增加彈力蛋白的活性,維持表皮更新能力使肌膚光滑緊緻

1.6.4 棕櫚醯五肽-4- 能改善皮膚粗糙度、皺紋體積、皺紋深度

棕櫚醯五肽-4(Palmitoyl Pentapeptide-4)能促進細胞外基質彈性蛋白、纖連蛋白、葡糖胺聚糖、膠原蛋白(特別是Ⅰ型、Ⅲ型、Ⅳ型膠原)等產生,實現抗衰老的作用。

通過臨床實驗改善皺紋效果: 根據論文,使用10%AHP-8的O/W劑型化妝品 使用時皺紋得到了抑制。

通過臨床試驗,Palmitoyl Pentapeptid-4通過促進生性來證明有改善皺紋的效果

1.6.5 角鯊烷 – 能抑制表情動態紋及抗皺的成份

親膚性極高的保濕成分,以植物來源的橄欖萃取而得,是一種與肌膚本身油脂(皮脂)作用近似的成分,可避免水分流失,滋潤卻不過於黏膩。即刻舒緩、修護肌膚因乾燥產生的不適感。

安全有效: 角鯊烷是透明無色的天然保濕劑,因為成份結構穩定,具有更長的保質期,且不容易產生敏感或痘痘問題,可以安心使用

吸收力強: 角鯊烷質地滋潤但不黏膩,且跟我們肌膚的表層很有親和力,能快速被吸收並導入肌膚底層。

鎖水保濕: 角鯊烷與天然皮脂膜一樣,可以在肌膚表面形成保護膜,防止水分流失並達到保濕功效。

1.6.6 AQUAGG- 超強保濕專利成份,改善皺紋回復彈性

AQUA GG (글리세릴글루코사이드)超強保濕儲水專利成分; 分子比玻尿酸小且無黏膩膚感.也是壓力防護因子,植物來源,安全溫和、對皮膚安全無刺激

1.7 VOT微晶海綿針的專業認證

1.8 韓國VOT微晶海綿針的發展簡史

VOT的生產商從事多年為不同的矽針進行研發及生產,而VOT是首款自己推廣的品牌。

2.1 VOT微晶海綿針治療範圍

眼部 – 改善眼底細紋、眼圈等問題。

面部 – 全方位嫩白、保濕、收細毛孔、改善膚質,緊緻提昇、減淡皺紋, 撫平皺紋、毛孔及凹凸洞,令皮膚恢復光滑緊緻。

身體 – 改善各種皺紋及疤痕,可針對改善手臂及背部的炎症痘痘、毛孔閉塞問題

2.2 VOT微晶海綿針的療程程序

1. 海綿針種植: 打開吸收通道和代謝通道

2. 48小時營養輸送~補充營養

3. 72小時細胞重組~加速代謝和補充水分,從而達到讓皮膚的細胞再生和皮膚再生!

皮膚才可以從膚⾊、膚齡、膚質360度無死角發生改變!

2.3 VOT微晶海綿針的使用心得

VOT微晶海綿針需要配合鎮靜修復噴霧、鎮靜面膜、肌底修復安瓶(保濕安瓶)、逆轉修復霜和鎮靜修復BB霜,期間可以額外配合儀器令效果更好,如使用面膜時可以加上藍燈額外加強鎮靜,或在使用肌底修復安瓶(保濕安瓶)時使用儀器導入。

2.4 VOT微晶海綿針過程注意事項

一般需要注意事項:

🚫不應以磨擦方式在皮使用VOT微晶海綿針下發射,以按壓方式可令海綿針更有效深入肌膚

         🎯脂肪較少的部位及貼近骨頭的部位需要減輕按壓強度


🎯療程後可能出現少許紅印及少許異物刺感,請即刻鎮靜

以下情況也不應在這些部位上直接治療:

🚫避開開放式傷口/創傷

🚫避開上眼簾

2.5 VOT微晶海綿針療程後護理

📌建議做療程前一兩日都要敷補濕面膜及使用補濕精華。

🚫治療後一星期內不能使用含有果酸、維他命A酸、水楊酸、酒精等成分的護膚品

🚫塗抹防曬霜避免肌膚直接收紫外線照射

🚫去角質請在施術一周以後進行

📌術後若產生米粒般的痘痘,但會自然消失     

2.6 VOT微晶海綿針可能引致療程後情況

– 施術部位出現輕微腫脹,緊繃的感覺,該症狀1天后將會消失。

– 施術部位灼熱感明顯,鎮定後,某一程度上施術當天可能持續有灼熱感。

– 大部分施術部位皮膚可能會呈現泛紅,這是正常現象,數日內會消腫。

2.7 VOT微晶海綿針的禁忌症

🚫孕婦或正在餵哺母乳

🚫患有免疫系統疾病、癲癇症患者、治療部位有神經痲痺的問題如面癱、凝血病﹑皮炎、濕疹、玫瑰痤瘡、單純性疱疹、曾經或懷疑有患皮膚癌、增生性疤痕、或免疫系統疾病(如紅斑狼瘡)。

🚫一個月內曾經暴曬或正在脫皮

🚫在療程前6個月內曾進食維他命A酸

3.1 與VOT微晶海綿針合適的療程配搭

針對更有效的全方位抗衰老:

🎯HIFU或無針埋線: 如有計劃配合無針埋線去做,最好先做HIFU/無針埋線,可以針對底層打好根基。而VOT微晶海綿針主要作用是加快代謝而改善膚質,並有增生膠原蛋白作用,所以跟無針埋線是很好的配搭,可以以無針埋線做深層的提升而VOT微晶海綿針做皮膚層收緊、收細毛孔及幼紋。

針對更有效的袪除凹凸洞及疤痕:

🎯分段射頻: 相對分段射頻能進入皮膚較深層,可先採用3-4次分段射頻破壞纖維化的組織及增生膠原,在凹凸洞及疤痕情況改善後轉為使用VOT微晶海綿針作更細緻的撫平。

3.2 適合與VOT微晶海綿針配合的護膚品

🎯建議做療程前一兩日都要敷補濕面膜及使用補濕精華。因為皮膚水分充足有助更好的修復,增強療程效果。補濕面膜可選用Ultra V Aquamask,補濕能力高價錢又公道。

🎯Ultra V Idebenone黃金一滴除了有很多透明質酸精華有補濕作用,其珍貴的艾地苯成份有很好抗氧化功效,能改善膚質、袪除膚色暗啞及收細毛孔細紋。由於成份安全,療程前後均可使用。

3.3 VOT微晶海綿針 VS 海藻矽針

很多化學換膚或矽針換膚,它們是[先脫落、後重生],用化學物或其他方法把角質先脫落,而矽針則只是希望在刺穿皮膚,因此必須在表面注入營份,由皮膚表面慢慢滲入,以求重建底層。但皮膚表皮保護膜一旦被去掉,就很容易因紫外線、空氣污染等因素,導致皮膚敏感,甚至出現反黑現象。

VOT微晶海綿針採用採肌膚[先重生、後脫落]成份直接跟隨海綿針深入肌底,並在角質底層長達72小時讓皮膚吸收,將人體細胞循環週期由28天轉快為3天,因更健康強壯的新肌膚細胞取代而令舊有失去作用的角質脫落。因為VOT微晶海綿針的專利淨化技術及營養覆蓋技術,才能把有效的珍貴天然成份放在海綿針的小孔,令成份更深入肌底。

4.1 VOT微晶海綿針市場定位| 價格及競爭策略

VOT微晶海綿針在中國、日本及韓國的著名程度可以媲美歐美最受歡迎的醫美護膚品牌,也有一定名氣,只是在香港是剛開始推廣。

所以這療程適合用來做廣告吸引客人,增加了宣傳時候建立潛在客戶對受推廣的信心。由於是全新的換膚方法,競爭也不算激烈,而且加速代謝後3-4天通常都可以看見效果,可令客戶建立信心。

V.O.T在韓國廣受歡迎

V.O.T在日本廣受歡迎(註: 在日本以VOS宣傳)

4.2 VOT微晶海綿針市場資訊| 價格、次數、市場競爭

矽針療程已經在香港很流行,因此有些美容院會推出非常低價的優惠作招徠,貨源價格差距也十分大,導致療程價格差距很大。VOT微晶海綿針技術比一般矽針更先進,成本相對是中上級,加上有療程價格限制防治價格惡性競爭。

療程次數方面,建議每隔10至14天一次,因人而異的選擇6至12次的療程便會有效一年以上,一年之後可以看情況再每月一次或再重新做一個療程,有些公司會當成每月一次的Facial給希望改善膚質的客人。這些美容院或診所可能會提供12次以上的療程供選擇。

4.3 客人該如何選擇美客院或診所做VOT微晶海綿針?

價格方面,最重要知道所使用的VOT微晶海綿針份量,由於大部份人每次使用1.5g即是半支都已經足夠,不一定要每次1支。

雖然單次的治療已可以看到改善,但我們建議至少6次為一個療程,會有更明顯的改善。

選擇VOT微晶海綿針療程時須注意療程有否標明治療部位,並留意試做價格及療程細節與正常價位療程的分別。一般可以選擇面部、頸部、手臂及背部療程。

治療師的操作也很影響療效,有些公司可能第一次療程會找熟手的治療師操作以吸引客戶參與療程,及後的療程就會找新手負責操作。所以客戶選擇參與此療程前需要跟美容院或診所確定這些由那位治療師細節,當然選擇有信譽的美容院或診所是更快捷,他們的每位治療師都經過嚴格培訓,以避免操作上的問題。

操作純熟的話,顧客應該感覺到輕力按壓皮膚而不會覺得很大力壓在臉骨上,而且海綿針均勻的落在皮膚上,並且是一下一下的節奏分明的進行。

顧客為了保障自己,如果操作時覺得太痛或者完全沒有感覺也必須跟治療師反映。

也要觀察美容院所用VOT微晶海綿針是否與本文的圖片一樣。

4.4 VOT微晶海綿針療程的常見問題

Q:治療所需要多久時間?
A:整個療程大約45分鐘。洗臉後,進行海綿針按摩約10分鐘,再敷面膜約15分鐘,再使用精華、面霜及防曬。

Q:進行海綿針療程時會很痛嗎?
A:過程有少許磨砂感覺,通常都可以接受。

Q:需要幾次的療程?
A:建議6次為1個療程,每兩周1次。療程需因應客人皮膚狀況而定。

Q:會不會影響正常生活?
A:由於不會破損皮膚表面,因此運動或是化妝、洗臉等日常生活都不會有影響。

Q: 療程效果什麼時候開始出現?
A: 通常每次療程後即時都有保濕及緊緻效果。療程加快皮膚更新至3天左右完成,一星期己經可以改善膚質。

Q: 可以配合激光或射頻一起做嗎?
A: 由於不會破損皮膚表面所以可配合一些不破損皮膚的激光或射頻,如Laser Facial。建議最後才進行海綿針療程。

4.5 為何要選擇我們去購買VOT微晶海綿針?

正廠正貨: 每盒有獨立的條碼認證,保每盒都是韓國正廠直接到港的原裝行貨

– 營銷建議及配套: 由我們會給你更多貼近市場的營銷建議,確保你買“對”產品

– 需要好的療效: 平衡進取的治療參數及安全性,我們對此充滿信心

靈活的投資成本選擇: 我們有方案令你更節省成本

歡迎與我們交流,聯絡我們給你更多建議-6473 2877。

4.6 VOT微晶海綿針購買須知

– 韓國原裝VOT微晶海綿針套裝每盒包6支海綿針(每支3g)、1支鎮靜修復噴霧、
6支肌底修復安瓶、18包逆轉修復霜和18包鎮靜修復BB霜

-每次約使用1.5g至3g的微晶海綿針,因此每盒VOT微晶海綿針套裝可用6至12次療程

4.7 VOT微晶海綿針官方視頻

4.8 VOT微晶海綿針小冊子與宣傳海報

4.9 相關Blog Post